TRUYỀN THÔNG CHĂM SÓC RĂNG MIỆNG CHO
TRẺ MẦM NON
1.Vai trò của răng miệng đối với sức khỏe
Răng miệng có vai trò đặc biệt quan trọng đối với sức khỏe con người, là bộ phận đầu tiên của hệ thống tiêu hóa. Răng miệng đảm nhiệm chức năng nhai và nghiền thức ăn, giúp cho ăn ngon miệng và quá trình tiêu hóa, hấp thu thức ăn được dễ hơn, nhằm cung cấp dinh dưỡng cho cơ thể. Khi mắc các bệnh về răng miệng trẻ sẽ biếng ăn, mất ngủ, gầy sút cân, dần dần dẫn đến suy dinh dưỡng. Ngoài ra, răng miệng còn có vai trò thẩm mỹ, phát âm chuẩn, góp phần để nụ cười đẹp duyên. Răng sâu là nơi chứa các mảnh vụn của thức ăn, lên men gây hôi miệng và làm hỏng răng.
2.Những bệnh răng miệng thường gặp ở tuổi học đường
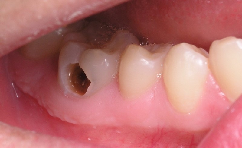
Cho đến nay, bệnh răng miệng hay gặp nhất ở tuổi học đường là bệnh sâu răng sữa và viêm lợi (viêm nướu). Sâu răng sữa xuất hiện ở trẻ chưa hoặc bắt đầu thay sang răng vĩnh viễn, đây là lứa tuổi bắt đầu đến trường (lớp 1). Tình trạng sâu răng sữa cũng có thể xuất hiện trước khi trẻ đến trường với biểu hiện nhiều răng bị “sún”. Đi cùng với bệnh sâu răng sữa là tình trạng viêm nướu. Đây là 2 bệnh có quan hệ mật thiết với nhau. Khi nướu bị viêm sẽ đỏ và sưng tấy, dễ chảy máu, miệng có mùi hôi. Viêm nướu còn là giai đoạn đầu của quá trình viêm quanh răng (bệnh nha chu). Bên cạnh đó, tình trạng thay răng không được chăm sóc tốt, sâu răng, răng bị “sún” làm cho nhiều trẻ có hàm răng vĩnh viễn mọc lệch lạc, ảnh hưởng đến thẩm mỹ và còn là điều kiện cho mảng bám, vi khuẩn phát triển ở những chỗ răng mọc chen chúc, răng mọc lệch khiến quá trình đánh răng không làm sạch được, sẽ gây ra các bệnh răng miệng sau này.
3. Phòng bệnh răng miệng tuổi học đường
Muốn trẻ có hàm răng đẹp, trẻ phải được chăm sóc ngay từ khi mang thai, đó là cần thực hiện chế độ dinh dưỡng thai nhi tốt, đầy đủ chất cần thiết cho sự phát triển hàm răng đẹp, khỏe của trẻ sau này như canxi, các loại vitamin có trong thức ăn. Trong thời kỳ trẻ thay răng sữa sang răng vĩnh viễn cũng cần bổ sung các chất cần thiết đó cho trẻ.
Nguyên nhân chính dẫn đến sâu răng và viêm nướu là vệ sinh răng miệng không sạch và không thường xuyên, vì vậy, cần chú trọng vệ sinh răng miệng.
- Đánh răng sau mỗi bữa ăn, tối thiểu 2 lần một ngày sáng khi ngủ dậy, tối trước khi đi ngủ. Sử dụng bàn chải mềm và đánh răng đúng cách;
- Chế độ ăn uống hợp lý, bổ sung canxi, vitamin;
- Hạn chế ăn quà vặt, không ăn nhiều đồ ngọt như bánh kẹo, bim bim…vv trước khi đi ngủ; Không ăn các thức ăn quá nóng, quá lạnh, quá cứng, quá chua;
- Kiểm tra răng miệng theo định kỳ 3-6 tháng một lần;
- Điều trị kịp thời khi phát hiện bệnh về răng miệng;
- Sử dụng chất Fluor để phòng chống sâu răng bằng cách cho học sinh súc miệng bằng dung dịch Natri fluor 0,2%, từ lớp 1 trở lên thực hiện 1 lần/tuần.
- Khi thay răng không nên để t tự nhổ hoặc nhổ răng tại nhà , tránh nhiễm khuẩn và chảy máu nặng mà cần đến các phòng khám nha khoa, bệnh viện. Đối với những em có răng mọc lệch lạc, cần đợi mọc đủ răng vĩnh viễn mới xem xét đến việc dùng các dụng cụ nắn chỉnh răng hợp lý. Trong quá trình học tập, vui chơi tại trường, các em cẩn thận khi vui đùa tránh những tai nạn gãy răng xảy ra, nhất là gãy răng đã thay sẽ ảnh hưởng đến thẩm mỹ và khả năng phát âm, nhai nghiền cũng như tốn kém cho việc làm răng giả sau này.
4. Đánh răng đúng cách giúp giảm thiểu được nguy cơ mắc các chứng bệnh sâu răng và viêm lợi.
Các bước đánh răng đúng cách:

Bước1: Sử dụng bàn chải đánh răng có lông mềm, dấp một ít nước cho ẩm và để một lớp mỏng kem đánh răng lên bề mặt lông bàn chải, nên chọn loại kem có chứa flour.
Bước 2: Khi bắt đầu đáng răng, nên hàm chải trên, ở bên trái trước (mặt gần má) theo chiều kim đồng hồ. Đặt lông bàn chảI hướng về đường viền nướu răng một góc 45 độ, rồi dịch chuyển bàn chải theo vòng tròn ngắn trên bề mặt răng khoảng 20 giây.
Bước 3: Dùng lông bàn chải “quét” quét từ đường viền nướu răng đến bề mặt răng để làm sạch các mảng bám thức ăn trong kẽ răng và khe nướu.
Bước 4: Tiếp tục chải “xoay tròn” theo chiều kim đồng hồ đói với hàm dưới bên trái. Lặp lại bước 2 và 3 cho bề mặt trong ở phía răng ở phía trong của hàm trên và hàm dưới.
Bước 5: Chải mặt trong của răng cửa hàm trên (gần lưỡi) bằng cách sử dụng đỉnh đầu bàn chảI để chảI nhẹ từ đường viền nướu răng xuống bề mặt của răng. Thực hiện độngtác này 2-3 lần.
Bước 6: Đối với mặt trong của răng trước hàm dưới, thì cũng đặt lông đỉnh đầu bàn chải về đường viền nướu răng, sau đó chải nhẹ lên.Thực hiện 2-3 lần.
Bước 7: Chải mặt nhai của răng hàm trên và dưới bằng cách xoay tròn bàn chải.
Bước 8: Chải lưỡi và mặt trong cửa má: xoay nhẹ nhàng lông bàn chải theo chuyển động trên bề mặt lưỡi và phía trong má khoảng 30 giây.
Bước 9: Súc miệng bằng nước sạch hoặc có thể dùng nước súc miệng.
Lưu ý:
- Chải sạch tất cả các bề mặt của răng.
- Không đánh răng quá mạnh.
- Thời gian đánh răng ít nhất 2 phút.
- Đánh răng ngay sau khi ăn, trước khi ngủ.
- 3 tháng nên thay bàn chải 1 lần.
- Chọn những thức ăn giàu canxi, vitamin D tốt cho răng như tôm, cua, rau củ quả, sũa...
- Tránh ăn quà vặt, đặc biệt là các món có lượng đường cao như nước ngọt, xirô, bánh kẹo. Không ăn các thức ăn quá nóng, quá lạnh, quá chua, quá cứng sẽ làm yếu và hỏng men răng. Nên hạn chế dùng các món ăn có độ dẻo vì chúng rất dễ bám quanh răng, tạo điều kiện cho vi khuẩn sinh sôi. Nên súc miệng sau khi ăn uống đồ ngọt.
- Dùng thuốc đánh răng có Fluor, súc miệng bằng nước Fluor để phòng chống sâu răng. Fluor có tác dụng làm cho men răng cứng hơn, do vậy chống đỡ với vi khuẩn tốt hơn.